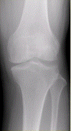
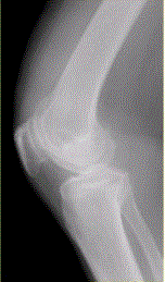
患者女,54岁,右膝关节痛。实验室检查:类风湿因子阳性,除外膝关节类风湿性关节炎。X线检查结果如下图。类风湿性关节炎早期的病理改变是A.关节软...

作者: rantiku 人气: - 评论: 0
问题 患者女,54岁,右膝关节痛。实验室检查:类风湿因子阳性,除外膝关节类风湿性关节炎。X线检查结果如下图。 类风湿性关节炎早期的病理改变是
选项 A.关节软骨变性 B.关节滑膜增生 C.滑膜血管翼形成 D.关节强直 E.关节边缘骨侵蚀
答案 B
解析

猜你喜欢

发表评论
更多 网友评论0 条评论)
暂无评论

Copyright © 2012-2014 恰考网 Inc. 保留所有权利。 Powered by tikuer.com

页面耗时0.0331秒, 内存占用1.03 MB, Cache:redis,访问数据库18次