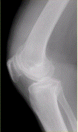
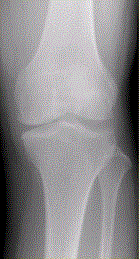
患者女,54岁,右膝关节痛。实验室检查:类风湿因子阳性,除外膝关节类风湿性关节炎。X线检查结果如下图。判断类风湿性关节炎活动性的检查方法是A....

作者: rantiku 人气: - 评论: 0
问题 患者女,54岁,右膝关节痛。实验室检查:类风湿因子阳性,除外膝关节类风湿性关节炎。X线检查结果如下图。 判断类风湿性关节炎活动性的检查方法是
选项 A.CR B.CT C.MRI D.MRI增强检查 E.动态增强MRI
答案 E
解析

猜你喜欢

发表评论
更多 网友评论0 条评论)
暂无评论

Copyright © 2012-2014 恰考网 Inc. 保留所有权利。 Powered by tikuer.com

页面耗时0.0390秒, 内存占用1.03 MB, Cache:redis,访问数据库19次