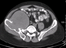
患者男,28岁,右下腹及臀部疼痛5个月余。查体:右髂骨外后侧压痛,右下腹可触及一软组织包块,质韧,固定。行骨盆正位CR、骨盆CT及MR扫描见下图。...

作者: rantiku 人气: - 评论: 0
问题 患者男,28岁,右下腹及臀部疼痛5个月余。查体:右髂骨外后侧压痛,右下腹可触及一软组织包块,质韧,固定。行骨盆正位CR、骨盆CT及MR扫描见下图。 对于此病变的征象,描述不正确的是
选项 A.右髂骨翼分叶状溶骨性骨质破坏,边缘清晰硬化,形成巨大软组织肿块 B.右髂骨软组织肿块侵犯右侧腰大肌 C.右髂骨软组织肿块推压右侧腰大肌 D.T2WI示病灶内多发囊状高信号影 E.病灶内可见多发T1、T2均呈低信号的条状影,提示为纤维分隔
答案 B
解析

猜你喜欢

发表评论
更多 网友评论0 条评论)
暂无评论

Copyright © 2012-2014 恰考网 Inc. 保留所有权利。 Powered by tikuer.com

页面耗时0.0356秒, 内存占用1.03 MB, Cache:redis,访问数据库19次