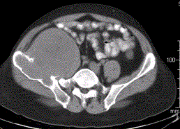
患者男,28岁,右下腹及臀部疼痛5个月余。查体:右髂骨外后侧压痛,右下腹可触及一软组织包块,质韧,固定。行骨盆正位CR、骨盆CT及MR扫描见下图。...

作者: rantiku 人气: - 评论: 0
问题 患者男,28岁,右下腹及臀部疼痛5个月余。查体:右髂骨外后侧压痛,右下腹可触及一软组织包块,质韧,固定。行骨盆正位CR、骨盆CT及MR扫描见下图。 关于病变发生的部位,叙述正确的是
选项 A.右髂骨皮质部,累及右侧腰大肌 B.右髂骨髓质部,累及右髂骨皮质及右侧腰大肌 C.右侧腰大肌,累及右髂骨 D.盲肠,累及右髂骨 E.末段回肠,累及右髂骨
答案 B
解析

猜你喜欢

发表评论
更多 网友评论0 条评论)
暂无评论

Copyright © 2012-2014 恰考网 Inc. 保留所有权利。 Powered by tikuer.com

页面耗时0.0266秒, 内存占用1.02 MB, Cache:redis,访问数据库14次