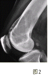
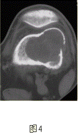
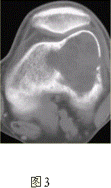
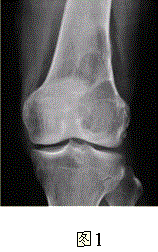
患者女,35岁,左膝关节隐痛1年余,近1周加重,活动后明显疼痛。查体:左股骨下端外侧肿胀,压痛。行左膝关节正侧位CR,并行左膝关节CT扫描,见下图。根...

作者: rantiku 人气: - 评论: 0
问题 患者女,35岁,左膝关节隐痛1年余,近1周加重,活动后明显疼痛。查体:左股骨下端外侧肿胀,压痛。行左膝关节正侧位CR,并行左膝关节CT扫描,见下图。 根据膝关节CR和CT影像,你认为此病例的影像学表现有
选项 A.左股骨外髁溶骨性骨质破坏 B.病灶呈明显膨胀 C.病变边缘清晰,有明显硬化缘 D.CT示左股骨外髁骨皮质不完整 E.病灶边缘可见骨膜反应,Codman三角形成 F.病灶周围软组织肿胀
答案 ABDF
解析 ABDF

猜你喜欢

发表评论
更多 网友评论0 条评论)
暂无评论

Copyright © 2012-2014 恰考网 Inc. 保留所有权利。 Powered by tikuer.com

页面耗时0.0354秒, 内存占用1.03 MB, Cache:redis,访问数据库17次