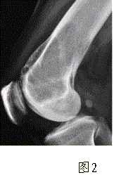
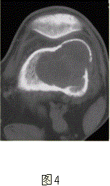
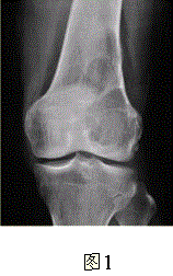
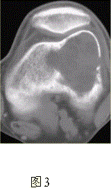
患者女,35岁,左膝关节隐痛1年余,近1周加重,活动后明显疼痛。查体:左股骨下端外侧肿胀,压痛。行左膝关节正侧位CR,并行左膝关节CT扫描,见下图。对...

作者: rantiku 人气: - 评论: 0
问题 患者女,35岁,左膝关节隐痛1年余,近1周加重,活动后明显疼痛。查体:左股骨下端外侧肿胀,压痛。行左膝关节正侧位CR,并行左膝关节CT扫描,见下图。 对本病例,应首先考虑的诊断是
选项 A.动脉瘤样骨囊肿 B.骨囊肿 C.成软骨细胞瘤 D.骨结核 E.骨巨细胞瘤 F.非骨化性纤维瘤
答案 E
解析 E

猜你喜欢

发表评论
更多 网友评论0 条评论)
暂无评论

Copyright © 2012-2014 恰考网 Inc. 保留所有权利。 Powered by tikuer.com

页面耗时0.0379秒, 内存占用1.03 MB, Cache:redis,访问数据库19次