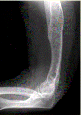
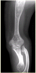
患者男,22岁,长期存在骨和关节变形,近期出现右肘关节疼痛,进行性加重。行右肘关节X线正侧位片检查,见下图。病变显示的征象包括A.累及干骺、骨...

作者: rantiku 人气: - 评论: 0
问题 患者男,22岁,长期存在骨和关节变形,近期出现右肘关节疼痛,进行性加重。行右肘关节X线正侧位片检查,见下图。 病变显示的征象包括
选项 A.累及干骺、骨干 B.累及多骨 C.髓腔内混杂密度影,病灶内含钙化 D.骨破坏形成软组织肿块 E.出现骨变形 F.受累骨未见骨膜反应
答案 ABCEF
解析 ABCEF

猜你喜欢

发表评论
更多 网友评论0 条评论)
暂无评论

Copyright © 2012-2014 恰考网 Inc. 保留所有权利。 Powered by tikuer.com

页面耗时0.0338秒, 内存占用1.03 MB, Cache:redis,访问数据库19次