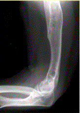
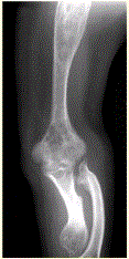
患者男,22岁,长期存在骨和关节变形,近期出现右肘关节疼痛,进行性加重。行右肘关节X线正侧位片检查,见下图。如患者无家族史,呈单侧发病,智力正...

作者: rantiku 人气: - 评论: 0
问题 患者男,22岁,长期存在骨和关节变形,近期出现右肘关节疼痛,进行性加重。行右肘关节X线正侧位片检查,见下图。 如患者无家族史,呈单侧发病,智力正常,则首选诊断为
选项 A.内生软骨瘤(Ollier病) B.遗传性多发性外生骨疣 C.神经纤维瘤病 D.进行性骨干发育不良 E.干骺发育不良 F.Albright综合征
答案 A
解析 A

猜你喜欢

发表评论
更多 网友评论0 条评论)
暂无评论

Copyright © 2012-2014 恰考网 Inc. 保留所有权利。 Powered by tikuer.com

页面耗时0.0330秒, 内存占用1.03 MB, Cache:redis,访问数据库15次