患者女,35岁,右大腿疼痛半年余。行右股骨干X线平片、CT和MR检查,结果见下图。该病例的鉴别诊断应包括A.骨化性肌炎B.骨软骨瘤...

作者: rantiku 人气: - 评论: 0
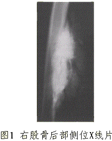
问题 患者女,35岁,右大腿疼痛半年余。行右股骨干X线平片、CT和MR检查,结果见下图。 该病例的鉴别诊断应包括
选项 A.骨化性肌炎 B.骨软骨瘤 C.骨膜型骨肉瘤 D.骨旁型骨肉瘤 E.皮质旁型软骨肉瘤 F.骨软骨瘤恶变
答案 ABCDEF
解析 ABCDEF

猜你喜欢

发表评论
更多 网友评论0 条评论)
暂无评论

Copyright © 2012-2014 恰考网 Inc. 保留所有权利。 Powered by tikuer.com

页面耗时0.0467秒, 内存占用1.03 MB, Cache:redis,访问数据库20次