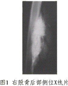
患者女,35岁,右大腿疼痛半年余。行右股骨干X线平片、CT和MR检查,结果见下图。影像学征象包括A.X线侧位片显示股骨干大范围骨破坏伴...

作者: rantiku 人气: - 评论: 0
问题 患者女,35岁,右大腿疼痛半年余。行右股骨干X线平片、CT和MR检查,结果见下图。 影像学征象包括
选项 A.X线侧位片显示股骨干大范围骨破坏伴软组织肿块,呈广泛的骨化 B.CT像显示肿块起自右股骨后份,其间有“蒂”相连接,两侧对股骨后部呈包绕状,可见与股骨间的透亮线影 C.MR平扫横断面T1WI中肿块骨化区表面可见覆盖中等信号的“帽状区” D.MR增强扫描显示“帽状区”明显强化 E.MR像显示病变起自骨髓腔 F.病变明显强化
答案 BCDF
解析 BCDF

猜你喜欢

发表评论
更多 网友评论0 条评论)
暂无评论

Copyright © 2012-2014 恰考网 Inc. 保留所有权利。 Powered by tikuer.com

页面耗时0.0336秒, 内存占用1.03 MB, Cache:redis,访问数据库16次