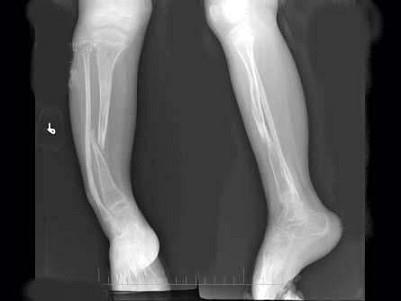
6岁,女,右小腿疼痛,跛行5年,无明显外伤史,右小腿正侧位片如图所示,最可能诊断是?(?)A.先天性骨不连B.先天性骨梅毒C.先天性假关节形成...

作者: rantiku 人气: - 评论: 0
问题 6岁,女,右小腿疼痛,跛行5年,无明显外伤史,右小腿正侧位片如图所示,最可能诊断是?(?)
选项 A.先天性骨不连 B.先天性骨梅毒 C.先天性假关节形成 D.成骨发育不全 E.软骨发育不全
答案 A
解析

猜你喜欢

发表评论
更多 网友评论0 条评论)
暂无评论

Copyright © 2012-2014 恰考网 Inc. 保留所有权利。 Powered by tikuer.com

页面耗时0.0885秒, 内存占用1.03 MB, Cache:redis,访问数据库20次