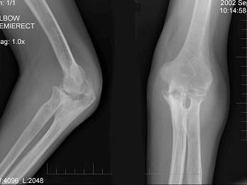
男,61岁,低烧,消廋,胸片示有结核病灶,结合图像,最可能诊断是?(?)A.肘关节结核B.肘关节退行性变C.骨折D.未见异常E.类风湿关节炎

作者: rantiku 人气: - 评论: 0
问题 男,61岁,低烧,消廋,胸片示有结核病灶,结合图像,最可能诊断是?(?)
选项 A.肘关节结核 B.肘关节退行性变 C.骨折 D.未见异常 E.类风湿关节炎
答案 A
解析

猜你喜欢

发表评论
更多 网友评论0 条评论)
暂无评论

Copyright © 2012-2014 恰考网 Inc. 保留所有权利。 Powered by tikuer.com

页面耗时0.0571秒, 内存占用1.03 MB, Cache:redis,访问数据库19次