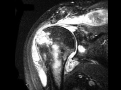
女,71岁,左肩痛,系统性红斑狼疮服用高剂量的类固醇半年,结合图像,最可能的诊断是?(?)A.化脓性关节炎B.类风湿关节炎C.骨纤...

作者: rantiku 人气: - 评论: 0
问题 女,71岁,左肩痛,系统性红斑狼疮服用高剂量的类固醇半年,结合图像,最可能的诊断是?(?)
选项 A.化脓性关节炎 B.类风湿关节炎 C.骨纤维肉瘤 D.肱骨头缺血坏死 E.肩关节结核
答案 E
解析

猜你喜欢

发表评论
更多 网友评论0 条评论)
暂无评论

Copyright © 2012-2014 恰考网 Inc. 保留所有权利。 Powered by tikuer.com

页面耗时0.0332秒, 内存占用1.03 MB, Cache:redis,访问数据库20次