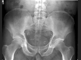
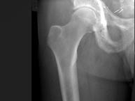
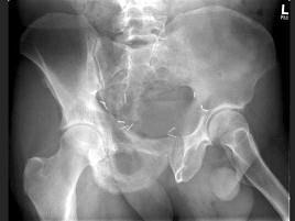
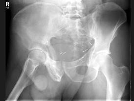
男,56岁,右髋部疼痛,5年前被确诊为前列腺癌,结合图像,最可能的诊断是?(?)A.骨纤维异常增殖症B.转移性骨肿瘤C.畸形性骨炎...

作者: rantiku 人气: - 评论: 0
问题 男,56岁,右髋部疼痛,5年前被确诊为前列腺癌,结合图像,最可能的诊断是?(?)
选项 A.骨纤维异常增殖症 B.转移性骨肿瘤 C.畸形性骨炎 D.内生软骨瘤 E.非骨化性纤维瘤
答案 C
解析

猜你喜欢

发表评论
更多 网友评论0 条评论)
暂无评论

Copyright © 2012-2014 恰考网 Inc. 保留所有权利。 Powered by tikuer.com

页面耗时0.0330秒, 内存占用1.03 MB, Cache:redis,访问数据库20次