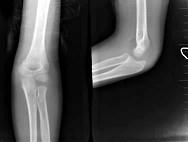
8岁男孩,外伤后感左肘关节肿痛,行左肘关节正侧位摄片如图所示,最可能的诊断是?(?)A.左肱骨髁上骨折B.左肱骨小头骨骺I度分离C.左肱骨髁上...

作者: rantiku 人气: - 评论: 0
问题 8岁男孩,外伤后感左肘关节肿痛,行左肘关节正侧位摄片如图所示,最可能的诊断是?(?)
选项 A.左肱骨髁上骨折 B.左肱骨小头骨骺I度分离 C.左肱骨髁上细微骨折 D.软组织挫伤 E.以上均不正确
答案 C
解析

猜你喜欢

发表评论
更多 网友评论0 条评论)
暂无评论
错误啦!

错误信息

  • 消息: [程序异常] : MISCONF Redis is configured to save RDB snapshots, but it's currently unable to persist to disk. Commands that may modify the data set are disabled, because this instance is configured to report errors during writes if RDB snapshotting fails (stop-writes-on-bgsave-error option). Please check the Redis logs for details about the RDB error.
  • 文件: /twcms/kongphp/cache/cache_redis.class.php
  • 位置: 第 85 行
    <?php echo 'KongPHP, Road to Jane.'; ?>