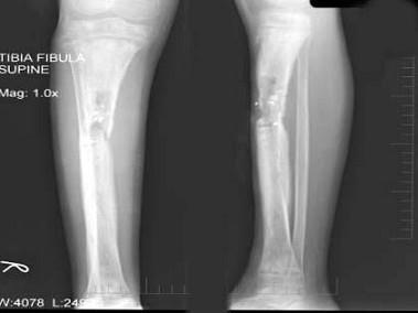
女,12岁,右小腿肿胀,疼痛,发热3月余,摄片如图所示,下列征象哪项是错误的?(?)A.骨质呈溶骨性破坏B.骨质增生硬化C.骨膜呈层状增生不明...

作者: rantiku 人气: - 评论: 0
问题 女,12岁,右小腿肿胀,疼痛,发热3月余,摄片如图所示,下列征象哪项是错误的?(?)
选项 A.骨质呈溶骨性破坏 B.骨质增生硬化 C.骨膜呈层状增生不明显 D.可见软组织肿块 E.软组织肿胀
答案 D
解析

猜你喜欢

发表评论
更多 网友评论0 条评论)
暂无评论

Copyright © 2012-2014 恰考网 Inc. 保留所有权利。 Powered by tikuer.com

页面耗时0.0769秒, 内存占用1.03 MB, Cache:redis,访问数据库20次