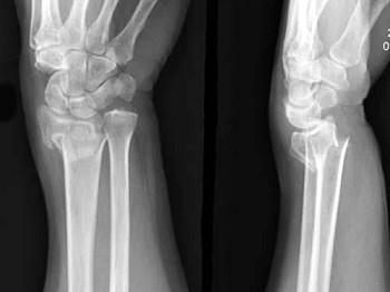
有外伤史,结合图像,最可能诊断是?(?)A.Smith骨折B.尺骨骨折C.未见异常D.Colles骨折E.腕关节脱位

作者: rantiku 人气: - 评论: 0
问题 有外伤史,结合图像,最可能诊断是?(?)
选项 A.Smith骨折 B.尺骨骨折 C.未见异常 D.Colles骨折 E.腕关节脱位
答案 D
解析

猜你喜欢

发表评论
更多 网友评论0 条评论)
暂无评论

Copyright © 2012-2014 恰考网 Inc. 保留所有权利。 Powered by tikuer.com

页面耗时0.0453秒, 内存占用1.03 MB, Cache:redis,访问数据库20次