女,8岁,外伤后致右胫骨骨折,如图所示,下列描述正确的是?(?)A.对位好,对线差B.对位差,对线好C.对位对线好D.对位对线差E.以...

作者: rantiku 人气: - 评论: 0
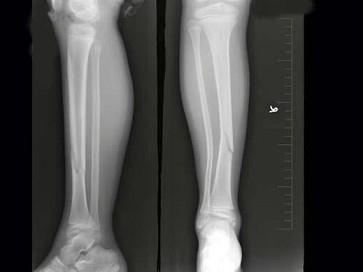
问题 女,8岁,外伤后致右胫骨骨折,如图所示,下列描述正确的是?(?)
选项 A.对位好,对线差 B.对位差,对线好 C.对位对线好 D.对位对线差 E.以上均不正确
答案 A
解析

猜你喜欢

发表评论
更多 网友评论0 条评论)
暂无评论

Copyright © 2012-2014 恰考网 Inc. 保留所有权利。 Powered by tikuer.com

页面耗时0.0542秒, 内存占用1.03 MB, Cache:redis,访问数据库18次