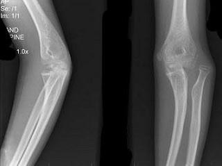
男,12岁,右前臂外伤后入院。结合图像,正确的诊断是?(?)A.Colles骨折B.孟氏骨折C.青枝骨折D.Smith骨折E.桡骨小头脱位

作者: rantiku 人气: - 评论: 0
问题 男,12岁,右前臂外伤后入院。结合图像,正确的诊断是?(?)
选项 A.Colles骨折 B.孟氏骨折 C.青枝骨折 D.Smith骨折 E.桡骨小头脱位
答案 E
解析

猜你喜欢

发表评论
更多 网友评论0 条评论)
暂无评论

Copyright © 2012-2014 恰考网 Inc. 保留所有权利。 Powered by tikuer.com

页面耗时0.0331秒, 内存占用1.03 MB, Cache:redis,访问数据库15次