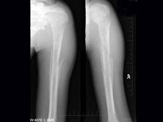
男,15岁,畏寒,高热2周,摄片如图所示,下列描述正确的是?(?)A.骨质广泛性溶骨性破坏B.少许骨质增生硬化C.大量层状骨膜增生D.以上...

作者: rantiku 人气: - 评论: 0
问题 男,15岁,畏寒,高热2周,摄片如图所示,下列描述正确的是?(?)
选项 A.骨质广泛性溶骨性破坏 B.少许骨质增生硬化 C.大量层状骨膜增生 D.以上描述均正确 E.以上描述均不正确
答案 D
解析

猜你喜欢

发表评论
更多 网友评论0 条评论)
暂无评论

Copyright © 2012-2014 恰考网 Inc. 保留所有权利。 Powered by tikuer.com

页面耗时0.0403秒, 内存占用1.03 MB, Cache:redis,访问数据库18次