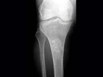
女,年龄47岁,膝关节疼痛6月余,曾服用泼尼松(服用时间5个月),有骨性关节炎史,结合图像,最可能诊断是?(?)A.慢性化脓性骨髓炎B.骨梗死...

作者: rantiku 人气: - 评论: 0
问题 女,年龄47岁,膝关节疼痛6月余,曾服用泼尼松(服用时间5个月),有骨性关节炎史,结合图像,最可能诊断是?(?)
选项 A.慢性化脓性骨髓炎 B.骨梗死 C.恶性骨肿瘤 D.内生软骨瘤 E.骨纤维结构不良
答案 B
解析

猜你喜欢

发表评论
更多 网友评论0 条评论)
暂无评论

Copyright © 2012-2014 恰考网 Inc. 保留所有权利。 Powered by tikuer.com

页面耗时0.0271秒, 内存占用1.03 MB, Cache:redis,访问数据库19次