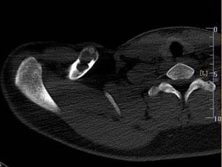
男,18岁,右锁骨轻微疼痛,伴局部肿胀,结合图像,最可能的诊断是?(?)A.右锁骨正常B.右锁骨嗜酸性肉芽肿C.右锁骨骨囊肿D...

作者: rantiku 人气: - 评论: 0
问题 男,18岁,右锁骨轻微疼痛,伴局部肿胀,结合图像,最可能的诊断是?(?)
选项 A.右锁骨正常 B.右锁骨嗜酸性肉芽肿 C.右锁骨骨囊肿 D.右锁骨骨结核 E.右锁骨骨巨细胞瘤
答案 B
解析

猜你喜欢

发表评论
更多 网友评论0 条评论)
暂无评论

Copyright © 2012-2014 恰考网 Inc. 保留所有权利。 Powered by tikuer.com

页面耗时0.0295秒, 内存占用1.03 MB, Cache:redis,访问数据库19次