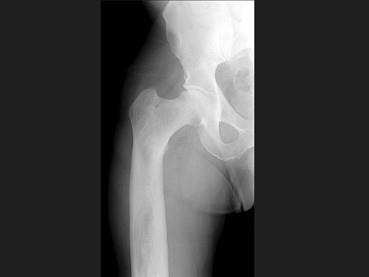
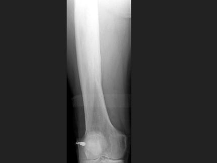
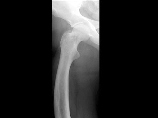
男,67岁,右侧股骨痛,结合图像,最可能的诊断是?(?)A.骨纤维结构不良B.维生素D缺乏病C.成骨不全D.软骨发育不全E...

作者: rantiku 人气: - 评论: 0
问题 男,67岁,右侧股骨痛,结合图像,最可能的诊断是?(?)
选项 A.骨纤维结构不良 B.维生素D缺乏病 C.成骨不全 D.软骨发育不全 E.畸形性骨炎
答案 E
解析

猜你喜欢

发表评论
更多 网友评论0 条评论)
暂无评论

Copyright © 2012-2014 恰考网 Inc. 保留所有权利。 Powered by tikuer.com

页面耗时0.0468秒, 内存占用1.03 MB, Cache:redis,访问数据库20次