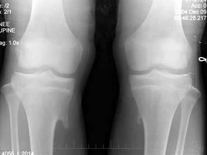
男,14岁,偶然发现双膝部肿块1天,双膝关节摄片如图,最可能的诊断是?(?)A.骨瘤B.骨软骨瘤C.局限性骨皮质增厚D.软骨肉瘤E.以...

作者: rantiku 人气: - 评论: 0
问题 男,14岁,偶然发现双膝部肿块1天,双膝关节摄片如图,最可能的诊断是?(?)
选项 A.骨瘤 B.骨软骨瘤 C.局限性骨皮质增厚 D.软骨肉瘤 E.以上均不正确
答案 B
解析

猜你喜欢

发表评论
更多 网友评论0 条评论)
暂无评论

Copyright © 2012-2014 恰考网 Inc. 保留所有权利。 Powered by tikuer.com

页面耗时0.0475秒, 内存占用1.03 MB, Cache:redis,访问数据库15次