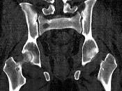
男,46岁,双髋部疼痛,实验室检查血钙升高,尿本周蛋白(+),结合图像,最可能的诊断是?(?)A.骨髓瘤B.骨质疏松症C.骨转移瘤...

作者: rantiku 人气: - 评论: 0
问题 男,46岁,双髋部疼痛,实验室检查血钙升高,尿本周蛋白(+),结合图像,最可能的诊断是?(?)
选项 A.骨髓瘤 B.骨质疏松症 C.骨转移瘤 D.骨囊肿 E.动脉瘤样骨囊肿
答案 A
解析

猜你喜欢

发表评论
更多 网友评论0 条评论)
暂无评论

Copyright © 2012-2014 恰考网 Inc. 保留所有权利。 Powered by tikuer.com

页面耗时0.0529秒, 内存占用1.03 MB, Cache:redis,访问数据库20次