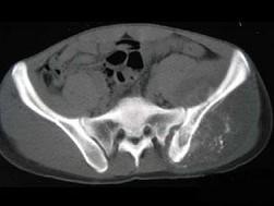
男,35岁,左髂部剧烈疼痛,尤以夜间明显,可摸到肿物,结合图像,最可能的诊断是?(?){图1}{图2}{图3}A.骨巨细胞瘤B.软骨肉...

作者: rantiku 人气: - 评论: 0
问题 男,35岁,左髂部剧烈疼痛,尤以夜间明显,可摸到肿物,结合图像,最可能的诊断是?(?) {图1} {图2} {图3}
选项 A.骨巨细胞瘤 B.软骨肉瘤 C.骨转移瘤 D.骨肉瘤 E.软骨瘤
答案 D
解析

猜你喜欢

发表评论
更多 网友评论0 条评论)
暂无评论

Copyright © 2012-2014 恰考网 Inc. 保留所有权利。 Powered by tikuer.com

页面耗时0.0517秒, 内存占用1.03 MB, Cache:redis,访问数据库20次