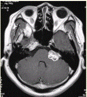
患者女,40岁。左侧听力下降半年,临床治疗效果不显著。MRI增强检查如下图。可能的诊断是A.神经鞘瘤B.脑膜瘤C.表皮样囊肿D.蛛网膜...

作者: rantiku 人气: - 评论: 0
问题 患者女,40岁。左侧听力下降半年,临床治疗效果不显著。MRI增强检查如下图。 可能的诊断是
选项 A.神经鞘瘤 B.脑膜瘤 C.表皮样囊肿 D.蛛网膜囊肿 E.星形细胞瘤
答案 A
解析

猜你喜欢

发表评论
更多 网友评论0 条评论)
暂无评论

Copyright © 2012-2014 恰考网 Inc. 保留所有权利。 Powered by tikuer.com

页面耗时0.0380秒, 内存占用1.03 MB, Cache:redis,访问数据库18次