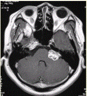
患者女,40岁。左侧听力下降半年,临床治疗效果不显著。MRI增强检查如下图。关于神经鞘瘤的描述,错误的是A.HRCT为诊断听神经瘤的金标准B....

作者: rantiku 人气: - 评论: 0
问题 患者女,40岁。左侧听力下降半年,临床治疗效果不显著。MRI增强检查如下图。 关于神经鞘瘤的描述,错误的是
选项 A.HRCT为诊断听神经瘤的金标准 B.占据CPA池,形成冰激凌形状 C.≤1.5cm或更小的病变可完全位于IAC内,且呈管状 D.当儿童或青年人出现双侧听神经瘤时,应高度怀疑神经纤维瘤病 E.当肿瘤位于IAC时,面神经鞘瘤与听神经鞘瘤的鉴别困难
答案 A
解析

猜你喜欢

发表评论
更多 网友评论0 条评论)
暂无评论

Copyright © 2012-2014 恰考网 Inc. 保留所有权利。 Powered by tikuer.com

页面耗时0.0373秒, 内存占用1.03 MB, Cache:redis,访问数据库15次