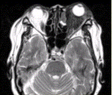
患者女,64岁,左眼突出5年余。查体左眼球前突6mm,眼球运动自如,眼底无异常,下睑扪及边界不清、质软的肿块,视力正常,MR表现如下图。经抗生...

作者: rantiku 人气: - 评论: 0
问题 患者女,64岁,左眼突出5年余。查体左眼球前突6mm,眼球运动自如,眼底无异常,下睑扪及边界不清、质软的肿块,视力正常,MR表现如下图。 经抗生素及激素治疗后好转,则诊断支持
选项 A.炎性假瘤 B.眼型Grave病 C.黑色素瘤 D.转移瘤 E.眼眶海绵状血管瘤 F.弥漫型淋巴管瘤
答案 A
解析 A

猜你喜欢

发表评论
更多 网友评论0 条评论)
暂无评论

Copyright © 2012-2014 恰考网 Inc. 保留所有权利。 Powered by tikuer.com

页面耗时0.0786秒, 内存占用1.03 MB, Cache:redis,访问数据库19次