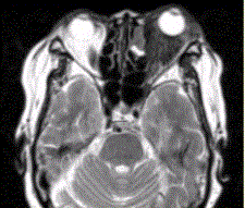
患者女,64岁,左眼突出5年余。查体左眼球前突6mm,眼球运动自如,眼底无异常,下睑扪及边界不清、质软的肿块,视力正常,MR表现如下图。诊为炎...

作者: rantiku 人气: - 评论: 0
问题 患者女,64岁,左眼突出5年余。查体左眼球前突6mm,眼球运动自如,眼底无异常,下睑扪及边界不清、质软的肿块,视力正常,MR表现如下图。 诊为炎性假瘤,则此例患者的分型应为
选项 A.肿块型 B.弥漫炎症型 C.泪腺型 D.肌炎型 E.眼睑型 F.眼球型
答案 B
解析 B

猜你喜欢

发表评论
更多 网友评论0 条评论)
暂无评论

Copyright © 2012-2014 恰考网 Inc. 保留所有权利。 Powered by tikuer.com

页面耗时0.0365秒, 内存占用1.03 MB, Cache:redis,访问数据库15次