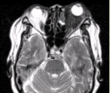
患者女,64岁,左眼突出5年余。查体左眼球前突6mm,眼球运动自如,眼底无异常,下睑扪及边界不清、质软的肿块,视力正常,MR表现如下图。关于炎...

作者: rantiku 人气: - 评论: 0
问题 患者女,64岁,左眼突出5年余。查体左眼球前突6mm,眼球运动自如,眼底无异常,下睑扪及边界不清、质软的肿块,视力正常,MR表现如下图。 关于炎性假瘤与眼型Grave病的区别,正确的表述是
选项 A.可发生于甲状腺功能正常者 B.只发生于甲状腺功能正常者 C.突眼程度可与临床表现、实验室检查结果不相符 D.后者为无痛性突眼 E.后者病理改变为眼外肌水肿 F.前者肌腱、肌腹同时增粗,后者肌腹增粗
答案 ACDEF
解析 ACDEF

猜你喜欢

发表评论
更多 网友评论0 条评论)
暂无评论

Copyright © 2012-2014 恰考网 Inc. 保留所有权利。 Powered by tikuer.com

页面耗时0.0557秒, 内存占用1.03 MB, Cache:redis,访问数据库20次