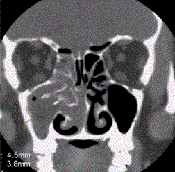
患者男,35岁,鼻腔分泌物多,流脓涕,鼻塞,头痛,面部局部压痛1个月余。体检:鼻腔分泌物多,鼻黏膜肿胀。CT表现如下图。慢性化脓性鼻窦炎影像学表现...

作者: rantiku 人气: - 评论: 0
问题 患者男,35岁,鼻腔分泌物多,流脓涕,鼻塞,头痛,面部局部压痛1个月余。体检:鼻腔分泌物多,鼻黏膜肿胀。CT表现如下图。 慢性化脓性鼻窦炎影像学表现包括
选项 A.鼻甲肥大 B.窦腔透过度减低 C.窦腔内积液 D.鼻窦黏膜增厚 E.窦壁骨质硬化增厚 F.病变呈长T1短T2信号影
答案 ABCDE
解析 ABCDE

猜你喜欢

发表评论
更多 网友评论0 条评论)
暂无评论

Copyright © 2012-2014 恰考网 Inc. 保留所有权利。 Powered by tikuer.com

页面耗时0.0540秒, 内存占用1.03 MB, Cache:redis,访问数据库18次