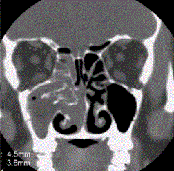
患者男,35岁,鼻腔分泌物多,流脓涕,鼻塞,头痛,面部局部压痛1个月余。体检:鼻腔分泌物多,鼻黏膜肿胀。CT表现如下图。上颌窦发生感染机会最高的原...

作者: rantiku 人气: - 评论: 0
问题 患者男,35岁,鼻腔分泌物多,流脓涕,鼻塞,头痛,面部局部压痛1个月余。体检:鼻腔分泌物多,鼻黏膜肿胀。CT表现如下图。 上颌窦发生感染机会最高的原因是
选项 A.上颌窦最大 B.于鼻腔开口位于各鼻窦开口之下 C.窦腔开口位置高,窦底位置低 D.上颌窦发育早 E.引流差 F.上颌窦变异较多
答案 ABCDE
解析 ABCDE

猜你喜欢

发表评论
更多 网友评论0 条评论)
暂无评论

Copyright © 2012-2014 恰考网 Inc. 保留所有权利。 Powered by tikuer.com

页面耗时0.0429秒, 内存占用1.03 MB, Cache:redis,访问数据库18次