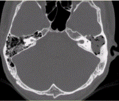
患者男,25岁,右耳流脓液、听力下降5年。查体:右侧鼓膜穿孔,传导性耳聋,CT检查如下图。胆脂瘤型中耳乳突炎多发于A.气化型乳突B.囊肿型乳突...

作者: rantiku 人气: - 评论: 0
问题 患者男,25岁,右耳流脓液、听力下降5年。查体:右侧鼓膜穿孔,传导性耳聋,CT检查如下图。 胆脂瘤型中耳乳突炎多发于
选项 A.气化型乳突 B.囊肿型乳突 C.硬化型乳突 D.板障型乳突 E.混合型乳突 F.液化型乳突
答案 CD
解析 CD

猜你喜欢

发表评论
更多 网友评论0 条评论)
暂无评论

Copyright © 2012-2014 恰考网 Inc. 保留所有权利。 Powered by tikuer.com

页面耗时0.0313秒, 内存占用1.03 MB, Cache:redis,访问数据库18次