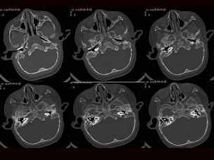
女,2岁,两侧耳廓发育不对称,左侧听力差,如图所示,最可能的诊断为?(?)A.左侧外耳道闭锁B.左侧中耳炎C.左侧内耳道畸形D.左侧胆脂瘤...

作者: rantiku 人气: - 评论: 0
问题 女,2岁,两侧耳廓发育不对称,左侧听力差,如图所示,最可能的诊断为?(?)
选项 A.左侧外耳道闭锁 B.左侧中耳炎 C.左侧内耳道畸形 D.左侧胆脂瘤 E.左侧中耳炎胆脂瘤形成
答案 A
解析

猜你喜欢

发表评论
更多 网友评论0 条评论)
暂无评论

Copyright © 2012-2014 恰考网 Inc. 保留所有权利。 Powered by tikuer.com

页面耗时0.0617秒, 内存占用1.03 MB, Cache:redis,访问数据库18次