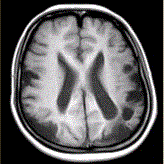
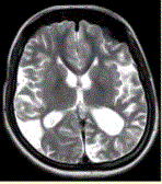
女性,22岁。癫痫发作及智力异常。MRI显示见下图。为进一步明确诊断,下一步的影像学检查首选A.MRI增强B.FLAIRC.DWI...

作者: rantiku 人气: - 评论: 0
问题 女性,22岁。癫痫发作及智力异常。MRI显示见下图。 为进一步明确诊断,下一步的影像学检查首选
选项 A.MRI增强 B.FLAIR C.DWI D.MRA E.MRV F.DSA
答案 D
解析 D

猜你喜欢

发表评论
更多 网友评论0 条评论)
暂无评论

Copyright © 2012-2014 恰考网 Inc. 保留所有权利。 Powered by tikuer.com

页面耗时0.0587秒, 内存占用1.03 MB, Cache:redis,访问数据库14次