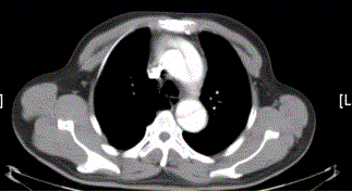
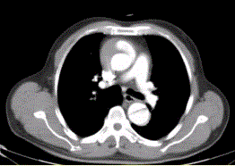
患者男,67岁,高血压病史多年,自服降压药,突发胸骨后剧烈疼痛2h,服用硝酸甘油不缓解。胸透示主动脉增宽。CT影像如下图。该病例的诊断为A.主...

作者: rantiku 人气: - 评论: 0
问题 患者男,67岁,高血压病史多年,自服降压药,突发胸骨后剧烈疼痛2h,服用硝酸甘油不缓解。胸透示主动脉增宽。CT影像如下图。 该病例的诊断为
选项 A.主动脉夹层 B.主动脉瘤 C.主动脉破裂 D.主动脉假性动脉瘤 E.主动脉血栓再通 F.大动脉炎
答案 A
解析 A

猜你喜欢

发表评论
更多 网友评论0 条评论)
暂无评论

Copyright © 2012-2014 恰考网 Inc. 保留所有权利。 Powered by tikuer.com

页面耗时0.0303秒, 内存占用1.03 MB, Cache:redis,访问数据库19次