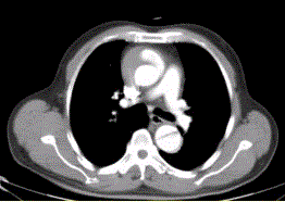
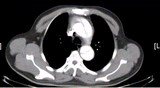
患者男,67岁,高血压病史多年,自服降压药,突发胸骨后剧烈疼痛2h,服用硝酸甘油不缓解。胸透示主动脉增宽。CT影像如下图。该例的影像学表现为A...

作者: rantiku 人气: - 评论: 0
问题 患者男,67岁,高血压病史多年,自服降压药,突发胸骨后剧烈疼痛2h,服用硝酸甘油不缓解。胸透示主动脉增宽。CT影像如下图。 该例的影像学表现为
选项 A.主动脉增粗 B.主动脉内可见内膜瓣 C.真腔在左后方 D.假腔在右前方 E.假腔较小 F.升主动脉和降主动脉同时受累
答案 ABF
解析 ABF

猜你喜欢

发表评论
更多 网友评论0 条评论)
暂无评论

Copyright © 2012-2014 恰考网 Inc. 保留所有权利。 Powered by tikuer.com

页面耗时0.0350秒, 内存占用1.03 MB, Cache:redis,访问数据库19次