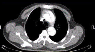
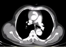
患者男,67岁,高血压病史多年,自服降压药,突发胸骨后剧烈疼痛2h,服用硝酸甘油不缓解。胸透示主动脉增宽。CT影像如下图。区分真腔和假腔最关键...

作者: rantiku 人气: - 评论: 0
问题 患者男,67岁,高血压病史多年,自服降压药,突发胸骨后剧烈疼痛2h,服用硝酸甘油不缓解。胸透示主动脉增宽。CT影像如下图。 区分真腔和假腔最关键的征象是
选项 A.真腔通常较小 B.真腔通常位于前方 C.真腔通常血流速度慢 D.真腔的对比剂浓度通常高于假腔 E.真腔内常伴有血栓形成 F.真腔内有血管分支
答案 D
解析 D

猜你喜欢

发表评论
更多 网友评论0 条评论)
暂无评论

Copyright © 2012-2014 恰考网 Inc. 保留所有权利。 Powered by tikuer.com

页面耗时0.0372秒, 内存占用1.03 MB, Cache:redis,访问数据库20次