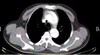
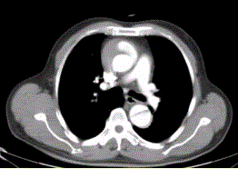
患者男,67岁,高血压病史多年,自服降压药,突发胸骨后剧烈疼痛2h,服用硝酸甘油不缓解。胸透示主动脉增宽。CT影像如下图。关于内膜瓣,描述正确...

作者: rantiku 人气: - 评论: 0
问题 患者男,67岁,高血压病史多年,自服降压药,突发胸骨后剧烈疼痛2h,服用硝酸甘油不缓解。胸透示主动脉增宽。CT影像如下图。 关于内膜瓣,描述正确的是
选项 A.平扫就很容易发现 B.内膜瓣可发现钙化 C.厚度通常大于主动脉壁厚度 D.增强时明显强化故不易显示 E.截面大多呈S型 F.由动脉内膜组成
答案 D
解析 D

猜你喜欢

发表评论
更多 网友评论0 条评论)
暂无评论

Copyright © 2012-2014 恰考网 Inc. 保留所有权利。 Powered by tikuer.com

页面耗时0.0380秒, 内存占用1.03 MB, Cache:redis,访问数据库19次