患者男,45岁,因肝硬化、肝癌行肝移植术后6个月,咳嗽2周,来院复查。CR及CT影像如下图。对于该病例,首选诊断为A.肺结核B.肺转移瘤 ...

作者: rantiku 人气: - 评论: 0
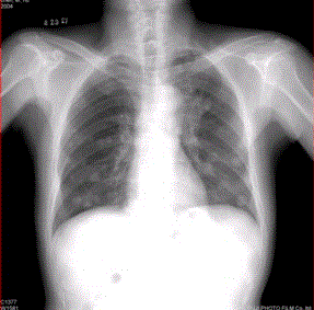
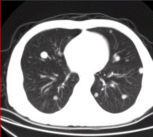
问题 患者男,45岁,因肝硬化、肝癌行肝移植术后6个月,咳嗽2周,来院复查。CR及CT影像如下图。 对于该病例,首选诊断为
选项 A.肺结核 B.肺转移瘤 C.肉芽肿性疾病 D.支气管肺泡癌 E.淋巴瘤 F.支气管肺癌
答案 B
解析 B

猜你喜欢

发表评论
更多 网友评论0 条评论)
暂无评论

Copyright © 2012-2014 恰考网 Inc. 保留所有权利。 Powered by tikuer.com

页面耗时0.0385秒, 内存占用1.03 MB, Cache:redis,访问数据库17次