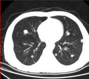
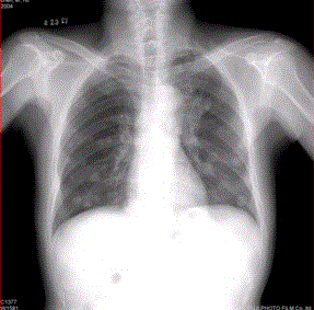
患者男,45岁,因肝硬化、肝癌行肝移植术后6个月,咳嗽2周,来院复查。CR及CT影像如下图。该疾病的转移途径可以为A.经肺动脉B.经肺动脉...

作者: rantiku 人气: - 评论: 0
问题 患者男,45岁,因肝硬化、肝癌行肝移植术后6个月,咳嗽2周,来院复查。CR及CT影像如下图。 该疾病的转移途径可以为
选项 A.经肺动脉 B.经肺动脉至淋巴管而后到肺外围 C.经纵隔淋巴结逆流到肺门淋巴结,再经肺内淋巴管到肺外周 D.经胸膜腔 E.经气道 F.经支气管动脉
答案 ACDE
解析 ACDE

猜你喜欢

发表评论
更多 网友评论0 条评论)
暂无评论

Copyright © 2012-2014 恰考网 Inc. 保留所有权利。 Powered by tikuer.com

页面耗时0.0405秒, 内存占用1.03 MB, Cache:redis,访问数据库18次