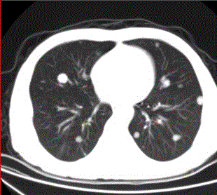
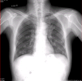
患者男,45岁,因肝硬化、肝癌行肝移植术后6个月,咳嗽2周,来院复查。CR及CT影像如下图。肺内转移结节可为A.弥漫性粟粒结节B.单发结节...

作者: rantiku 人气: - 评论: 0
问题 患者男,45岁,因肝硬化、肝癌行肝移植术后6个月,咳嗽2周,来院复查。CR及CT影像如下图。 肺内转移结节可为
选项 A.弥漫性粟粒结节 B.单发结节 C.结节发生坏死形成空洞 D.钙化结节 E.带毛刺的结节 F.含脂肪成分的结节
答案 ABCDE
解析 ABCDE

猜你喜欢

发表评论
更多 网友评论0 条评论)
暂无评论
错误啦!

错误信息

  • 消息: [程序异常] : MISCONF Redis is configured to save RDB snapshots, but it's currently unable to persist to disk. Commands that may modify the data set are disabled, because this instance is configured to report errors during writes if RDB snapshotting fails (stop-writes-on-bgsave-error option). Please check the Redis logs for details about the RDB error.
  • 文件: /twcms/kongphp/cache/cache_redis.class.php
  • 位置: 第 85 行
    <?php echo 'KongPHP, Road to Jane.'; ?>