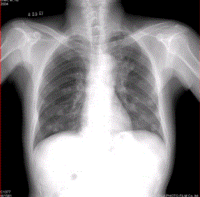
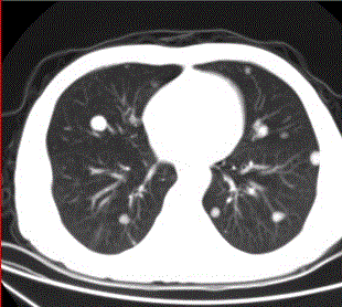
患者男,45岁,因肝硬化、肝癌行肝移植术后6个月,咳嗽2周,来院复查。CR及CT影像如下图。对于转移瘤和原发癌的关系,描述正确的有A.肺内转移...

作者: rantiku 人气: - 评论: 0
问题 患者男,45岁,因肝硬化、肝癌行肝移植术后6个月,咳嗽2周,来院复查。CR及CT影像如下图。 对于转移瘤和原发癌的关系,描述正确的有
选项 A.肺内转移最多的原发瘤为肝癌 B.原发支气管肺癌可转移到同侧和对侧 C.乳腺癌肺转移可通过血行和淋巴途径,还可经胸膜播散 D.睾丸精原细胞瘤的肺和淋巴结转移灶密度较低 E.中枢神经系统肿瘤易发生肺内转移 F.脑转移瘤中最常见的原发肿瘤为肺癌
答案 BCDE
解析 BCDE

猜你喜欢

发表评论
更多 网友评论0 条评论)
暂无评论
错误啦!

错误信息

  • 消息: [程序异常] : MISCONF Redis is configured to save RDB snapshots, but it's currently unable to persist to disk. Commands that may modify the data set are disabled, because this instance is configured to report errors during writes if RDB snapshotting fails (stop-writes-on-bgsave-error option). Please check the Redis logs for details about the RDB error.
  • 文件: /twcms/kongphp/cache/cache_redis.class.php
  • 位置: 第 85 行
    <?php echo 'KongPHP, Road to Jane.'; ?>