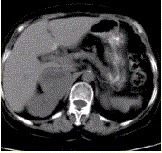
患者男,41岁,发作性头晕、恶心、面色苍白伴高血压半年,入院观察,当时测血压180/80mmHg;上腹部CT示:右侧肾上腺区有直径为5cm圆形稍高密度影,...

作者: rantiku 人气: - 评论: 0
问题 患者男,41岁,发作性头晕、恶心、面色苍白伴高血压半年,入院观察,当时测血压180/80mmHg;上腹部CT示:右侧肾上腺区有直径为5cm圆形稍高密度影,边界清晰,内部密度不均(下图)。 根据病史和影像学表现,患者最可能的诊断为
选项 A.肾上腺囊肿 B.肾上腺转移瘤 C.肾上腺髓样脂肪瘤 D.嗜铬细胞瘤 E.肾上腺腺瘤
答案 D
解析

猜你喜欢

发表评论
更多 网友评论0 条评论)
暂无评论

Copyright © 2012-2014 恰考网 Inc. 保留所有权利。 Powered by tikuer.com

页面耗时0.0399秒, 内存占用1.03 MB, Cache:redis,访问数据库19次