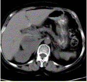
患者男,41岁,发作性头晕、恶心、面色苍白伴高血压半年,入院观察,当时测血压180/80mmHg;上腹部CT示:右侧肾上腺区有直径为5cm圆形稍高密度影,...

作者: rantiku 人气: - 评论: 0
问题 患者男,41岁,发作性头晕、恶心、面色苍白伴高血压半年,入院观察,当时测血压180/80mmHg;上腹部CT示:右侧肾上腺区有直径为5cm圆形稍高密度影,边界清晰,内部密度不均(下图)。 对该患者的治疗预后,阐述错误的是
选项 A.该病大多数为良性,手术切除可以根治 B.手术治疗前应采用α受体阻断药使血压下降,一般应用不少于1周 C.该病在手术切除过程中具有一定危险性,可出现血压骤升和(或)心律失常 D.病变切除术后1周,血压仍可偏高 E.病变为恶性的患者治疗困难,对放疗和化疗不敏感
答案 B
解析

猜你喜欢

发表评论
更多 网友评论0 条评论)
暂无评论
错误啦!

错误信息

  • 消息: [程序异常] : MISCONF Redis is configured to save RDB snapshots, but it's currently unable to persist to disk. Commands that may modify the data set are disabled, because this instance is configured to report errors during writes if RDB snapshotting fails (stop-writes-on-bgsave-error option). Please check the Redis logs for details about the RDB error.
  • 文件: /twcms/kongphp/cache/cache_redis.class.php
  • 位置: 第 85 行
    <?php echo 'KongPHP, Road to Jane.'; ?>