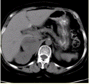
患者男,41岁,发作性头晕、恶心、面色苍白伴高血压半年,入院观察,当时测血压180/80mmHg;上腹部CT示:右侧肾上腺区有直径为5cm圆形稍高密度影,...

作者: rantiku 人气: - 评论: 0
问题 患者男,41岁,发作性头晕、恶心、面色苍白伴高血压半年,入院观察,当时测血压180/80mmHg;上腹部CT示:右侧肾上腺区有直径为5cm圆形稍高密度影,边界清晰,内部密度不均(下图)。 当患者出现高血压危象时,应立即静脉缓慢推注
选项 A.酚妥拉明 B.利多卡因 C.地塞米松 D.去甲肾上腺素 E.肾上腺
答案 A
解析

猜你喜欢

发表评论
更多 网友评论0 条评论)
暂无评论

Copyright © 2012-2014 恰考网 Inc. 保留所有权利。 Powered by tikuer.com

页面耗时0.0405秒, 内存占用1.03 MB, Cache:redis,访问数据库19次