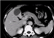
患者女,50岁,右上腹痛,向肩胛部放射,伴有消瘦、乏力。查体:皮肤巩膜黄染,墨菲(Murphy)征阳性。CT示胆囊壁不规则增厚(下图)。最可能的诊...

作者: rantiku 人气: - 评论: 0
问题 患者女,50岁,右上腹痛,向肩胛部放射,伴有消瘦、乏力。查体:皮肤巩膜黄染,墨菲(Murphy)征阳性。CT示胆囊壁不规则增厚(下图)。 最可能的诊断为
选项 A.胆囊炎 B.胆囊结石 C.胆管炎 D.胆囊癌 E.胆囊腺肌症
答案 D
解析

猜你喜欢

发表评论
更多 网友评论0 条评论)
暂无评论

Copyright © 2012-2014 恰考网 Inc. 保留所有权利。 Powered by tikuer.com

页面耗时0.0345秒, 内存占用1.03 MB, Cache:redis,访问数据库19次