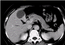
患者女,50岁,右上腹痛,向肩胛部放射,伴有消瘦、乏力。查体:皮肤巩膜黄染,墨菲(Murphy)征阳性。CT示胆囊壁不规则增厚(下图)。该病CT增...

作者: rantiku 人气: - 评论: 0
问题 患者女,50岁,右上腹痛,向肩胛部放射,伴有消瘦、乏力。查体:皮肤巩膜黄染,墨菲(Murphy)征阳性。CT示胆囊壁不规则增厚(下图)。 该病CT增强检查的表现为
选项 A.持续明显强化趋势 B.斑片状强化 C.呈“快进快出” D.延时期强化 E.未见明显强化
答案 A
解析

猜你喜欢

发表评论
更多 网友评论0 条评论)
暂无评论

Copyright © 2012-2014 恰考网 Inc. 保留所有权利。 Powered by tikuer.com

页面耗时0.0281秒, 内存占用1.03 MB, Cache:redis,访问数据库17次