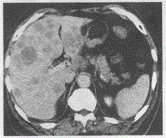
胃癌术后2年,上腹部疼痛,肝脏增强后如图最可能的诊断是A.肝转移B.肝脓肿C.肝囊肿D.肝癌E.肝包虫病

作者: rantiku 人气: - 评论: 0
问题 胃癌术后2年,上腹部疼痛,肝脏增强后如图最可能的诊断是
选项 A.肝转移 B.肝脓肿 C.肝囊肿 D.肝癌 E.肝包虫病
答案 A
解析

猜你喜欢

发表评论
更多 网友评论0 条评论)
暂无评论

Copyright © 2012-2014 恰考网 Inc. 保留所有权利。 Powered by tikuer.com

页面耗时0.0508秒, 内存占用1.03 MB, Cache:redis,访问数据库19次